- 무릎에서 ‘뚝뚝’ 또는 ‘사각사각’ 하는 소리가 난다.
- 계단을 오르거나 쪼그려 앉기, 무거운 물건을 들 때 통증이 있다.
- 양발을 모으고 서 있으면 무릎이 안쪽으로 붙지 않는다.
- 날씨가 춥거나 습도가 높을 때 팔다리가 쑤신다.
- 아침에 일어나면 관절이 뻣뻣하지만 조금 지나면 괜찮아진다.
- 무릎이 딱딱하게 붓고 운동 시 삐걱하는 소리가 난다.
- 일어서려고 하면 무릎이 아프다.
- 걷고 난 후에 생긴 통증이 2~3일 이상 지속된다.
퇴행성관절염이란?
Degenerative arthritis퇴행성관절염은 연골이 반복적인 자극과 노화로 인해 손상되면서 염증과 통증을 유발하고,
결국 움직임에 제한을 가져오는 질환입니다.
다양한 요인으로 연골에 지속적인 자극이 가해지면서 관절을 보호하는 능력이 크게 감소하게 됩니다.
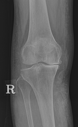
-
정상적인 모습
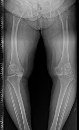
-
환자의 모습
퇴행성관절염의 원인
다음과 같은 요인들이 관련 있을 수 있습니다.
-
나이
50대 이상에서 급증하며 특히 여성은 폐경기 이후
호르몬 변화로 발병률이 증가합니다.
젊은 연령층(20~30대)에서도 스포츠 손상, 비만, 외상
등으로 인해 조기 발생 가능합니다. -
노화
나이가 들수록 관절 연골이 점차 닳아 없어집니다.
-
반복적 관절 사용
직업적 활동, 운동 등으로 특정 관절이 반복적으로 자극 받고 무릎을 자주 구부리는 습관이나 쪼그려 앉는 자세, 계단을 반복해서 오르내리는 행동들이 원인이 될 수 있습니다.
-
관절 부상 이력
과거에 무릎을 다쳤거나 반월연골판이나 인대에 손상이 있었던 경험이 있다면 퇴행성 변화로 이어질 수 있습니다.
주요증상과 진단증상
3개 이상 시, 퇴행성관절염 질환이 의심되며, 5개 이상 해당된다면 반드시 병원에 내원하여 치료를 받아야 합니다.정확한 진단을 위한 검사
연세천용민정형외과에서는 무릎통증의 정확한 진단을 위한 체계적인 검사를 진행하고 있습니다.-
진료 정확한 진단을 위한
증상과 진찰소견 -
X-ray 검사 뼈 사이 관절
간격을 파악 -
혈액 검사 염증 수치나
특정 항체 확인 -
MRI 검사 연골 및 연골판의
손상 정도 파악 -
초음파 검사 관절 주위의
연조직 상태 확인
환자 한 분 한 분에게 최선을 다합니다.
Yonsei Chun Yongmin Orthopaedic Surgery치료방법 및 치료법
퇴행성관절염의 치료는 증상의 정도와 원인에 따라 다를 수 있습니다. 일반적으로 다음과 같은 방법들이 사용됩니다.-
1기
연골 손상이 경미한 상태(초기)
휴식, 약물치료, 도수·재활운동, 물리치료, 연골주사 등
-
2~3기
관절 간격이 맞붙은 상태(말기)
인공관절 부분 치환술, 인공관절 치환술
-
4기
체외충격파치료
충격파를 이용해
칼슘 침착물을 분해하고 염증을 줄입니다.
-
수술적 치료 : 무릎 연골재생술
초기
관절경적 미세천공술(Microfracture)
비교적 작은 연골 결손일 때, 체내 재생을 유도하는 단순하고 부담이 적은 수술입니다.
적응증 (누가 하는가)
- 국소적으로 작은 연골 결손(보통 2~3cm² 이하)
- 나이가 비교적 젊은 환자
- 연골 주변 조직 상태가 비교적 좋은 경우
- 연골이 광범위하게 닳지 않은 초기 연골손상
수술 방법 (어떻게 하는가)
1관절경(내시경)으로 병변 부위 관찰 손상된 연골을 정리
2뼈 표면에 작은 구멍 여러 개를 뚫어 미세천공 시행
3골수에서 재생 세포가 나오도록 유도
4세포들이 굳어져 섬유성 연골(질은 조금 떨어짐)이 새로 채워지는 방식
중기
카티스템 줄기세포 연골재생술(Cartistem)
제대혈 유래 줄기세포 치료제(카티스템)은 큰 연골손상이나 퇴행성 관절에서도 적용 가능하며, 더 질 좋은 연골 재생을 기대하는 수술입니다.
적응증 (누가 하는가)
- 연골 결손 크기가 비교적 크거나 깊은 경우
- 퇴행성 변화가 어느 정도 있는 경우도 적용 가능
- 미세천공술만으로는 재생이 부족할 것으로 예상되는 경우
- 나이가 있어도 가능
수술 방법 (어떻게 하는가)
1관절경 또는 최소 절개로 손상된 연골을 깨끗하게 다듬는다.
2이식부위를 형성
3줄기세포 제제(카티스템)를 병변 부위에 채워 넣고 고정 한다.
4봉합후 마무리 한다. 줄기세포가 더 질이 좋은 연골(유리연골 유사 조직)을 형성하도록 도와준다.
수술 전후 사례
수술 전
카티스템 수술
수술 후 1년
수술 전
카티스템 수술
수술 후 1년
-
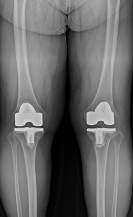
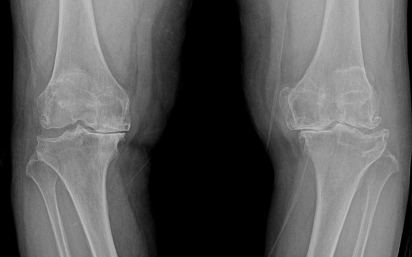
수술적 치료 : 인공관절 치환술
말기
인공관절 치환술
노화에 따른 퇴행성 관절염,외상 후 발생되는 외상성 관절염 등으로 손상이 심한 관절, 관절의 심한 변형과 극심한 통증을 해결하는 데 효과적으로 개인에게 맞게 인공 대체물을 삽입하는 수술 방법입니다.
무릎 관절 연골이 일부만 닮아 있을 경우, 선택적으로 인공관절 부분치환술을 시행 할 수 있습니다.적응증 (누가 하는가)
- 퇴행성 관절염,외상성 관절염 말기 진단을 받으신분.
- 약물치료, 주사치료등에도 통증 개선에 효과가 없는분.
- 보행 혹은 계단 이용 시 일상생활에 지장을 줄 만큼 통증이 심한 경우.
- 무릎 기형, 무릎이 안쪽 도는 바깥쪽으로 구부러진 경우(O,X 형다리)
- 관절 통증이 수시로 느껴지고, 움직이지 않을 때도 통증이 있는분.
수술 전후 사례
-

수술 전
-

수술 후
-

수술 전
-

수술 후
-

수술 전
-

수술 후
장점
관절 통증 해소!
일상생활을 가능하게!
삶의 질 향상!
자유로운 움직임!
예약하기
온라인 상담
진료시간/오시는길
카톡상담
채널 친구 추가
